28.01.2021
Da sind sie nun...
...die ersten Bilder unserer kleinen Q-chen!
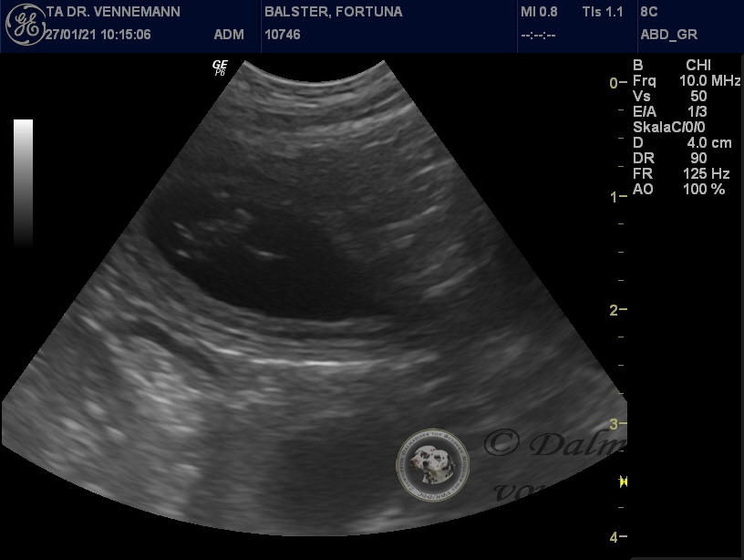
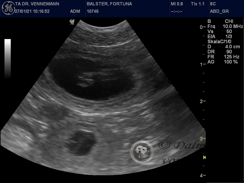
Der Ultraschall beim Tierarzt unseres Vertrauens hat uns Einblick in Selmas Bäuchlein gegeben. Deutlich sichtbar waren die schlagenden Herzchen der Winzlinge zu erkennen - immer wieder ein wunderbarer Anblick!

Selma gehts gut. Wir werden uns weiter in Geduld üben...
p.s.: derzeit sind alle Welpen versprochen




_199x300-equal.jpg)
_199x300-equal.jpg)
_199x300-equal.jpg)